I know some of you are confused by the last couple of post. It is not straight forward when dealing with pain. One thing that you should be aware of is that itching is pain. This is a medical fact as I was reminded by my sister-in-law a retired nurse anesthetist. It may be only the beginning of pain but pain none the less. The human body is a system that requires biological action like taking in food and oxygen and elimination of waste products. Also health is determined by the spirit or mood or emotional response or whatever you want to call it. In modern medicine, it is called the placebo effect. A person responds to the care he is given in either a positive or negative manner. This includes the person’s care for their own well being. Failure of any of the system requirements can lead to illness.
Perhaps you have never considered what happens on a neuron as the signal passes along from the central nervous system, CNS, to various parts of the body. It is a chemical/electrical action. First stimulus causes the neuron to fire. When this happens, gates in the neuron’s axon open and allow sodium to flow into the axon and potassium to flow out. The gates open by a voltage response that is above minus 50 millivolts. The voltage as the gates open goes positive along the length of the axon as the signal travels along to about positive 30 millivolts. After the signal has passed, sodium/potassium pumps take the sodium out of the neuron and the potassium back into the neuron until a resting voltage of about minus 70 millivolts is achieved. When this signal hits the synapse, a voltage gated calcium channel opens and allows calcium to flow in and trigger the release of a neurotransmitter, most commonly acetyl choline. This stimulates the next neuron and the signal continues along the nerve length. If this is confusing for you, I would suggest that you watch this flash animation that is produce by Harvard. It shows the nerve action signaling in the body and how the action potential works.
As an aside, this small electrical requirement to operate the sodium/potassium gates for your cells is the reason that it only takes ten millivolts from an outside source to stop your heart when the path of current flow is directly across your heart.
It has been estimated that fifty percent of the energy that is produced by your body is used to keep ions on the correct side of cell walls. Without a balance of the calcium, magnesium, sodium, and potassium, failure of your CNS and cell function is inevitable. All of your brain and nerves are made of these types of cells. This includes the heart. The heart is made of over sixty-five percent neurons. Thinking with the heart is most likely a reality, because these cells are the same thing that is in the brain. Not mentioned in my description of the nerve signal above is magnesium. The function of magnesium is extensive, but it is the ion of choice for ATP to ADP, or the cellular energy chemicals. The balance of calcium and magnesium in the mitochondrial bodies where energy is converted is crucial. This required balance of magnesium with calcium in the heart is primarily responsible for heart rhythms. Obviously, the balance of sodium and potassium is also crucial. Any imbalance will result in muscle cramps and pain.
So how does vitamin D come into play with this chemical/electrical dance that is occurring in your cellular signaling pathways? The vitamin D acts to increase the activity of biological systems as it is one of the primary hormones in your body. It increases the immune response to pathogens as well as stimulating other cellular activities. If you are mineral deficient as your body gears up for health, it lets you know in the form of either a tired feeling or perhaps even a rash. I remember growing up; I was so vitamin D deficient that anytime that I went in the sun in the early spring, I would break out in a bright red raised rash. My mom would be frightened that something was seriously wrong and encouraged me to stay out of the sun. This was a mistake. The solution was to spend more time in the sun or not to become deficient in the winter.
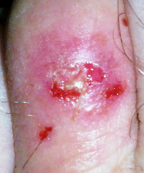
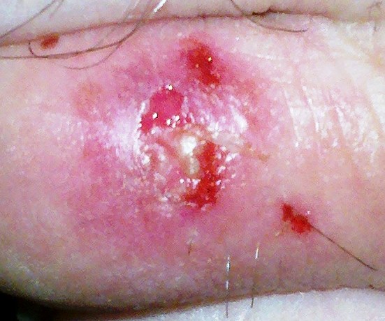
The other action that occurs with vitamin D in combination with other nutrients is cartilage enlarges as it fills with fluid, primarily water. Vitamin D does not act alone on cartilage. The other nutrients must be available in sufficient amounts. This increases the cushioning effect by the cartilage for all of your joints. Now imagine in your back where you have thirty three vertebrae with nerves coming out at every junction, going to various parts of the body. As the cartilage gets thicker, it will cause a pulling and stretching of the nerves. I like to think this is the nerves finding their new ‘home state.’ In my case, each cartilage increased about a tenth of an inch over a ten month period. With the thirty plus disc, this caused me to increase in physical height by three inches. As the nerves found their new home state, there was considerable pain including a significant amount of itching. Now that my spine has healed all of that pain has disappeared. It did not happen quickly. I estimate that there was healing of the bone and cartilage that went on for five years. The only issue that I have now is where the operation occurred on L4-L5. The cartilage was so damaged, that it was not able to repair. It is just gone. When the nerve gets pinched at this location, then I can have some pain in my left leg, itching, rashes, and even lesions.
As far as my discussion of Morgellons syndrome, I was horrified at the lack of competence by the doctors involved as well as the CDC. There was no pathogen found, so as far as the CDC was concerned, it was all from the persons mental condition. I believe this syndrome is an effect of spinal degeneration or other locations that are the origins of the nerve pathways. This mechanical pinching will result in various symptoms including itching. I was horrified as one patient was described as having the lesions spreading up his arm with no known cause. Eventually his arms became paralyzed and he died. It is my belief that this person had spinal stenosis in his cervical disc and the nerves were so compressed he was having multiple symptoms. I suspect he died because the cervical discs are also the origin for vital functions like breathing. It is sad to think of the diagnosis delivered to persons that are suffering from a mechanical failure of the nerves. I now wonder at how many cases of misdiagnosis are made for shingles. As it usually occurs in people over fifty, I suspect many of these cases are ‘trapped’ nerves and not a reoccurrence of the chicken pox virus. If your doctor says shingles, asked him to run a test for the presence of the virus. If there is no virus, then you most likely have a pinched nerve.
Your take from this? Exercise, eat lots of greens for potassium, supplement with magnesium because our soils are deplete, eat enough garlic, onions, and egg yellows to get an adequate amount of sulfur, go into the sun on a regular basis in the summer and supplement with vitamin D in the winter, and pray every day to sustain your spirit. At all cost protect your ‘heart’ as it is the well spring of life. – Pandemic Survivor




